სენსაცია! 12 საგანი, რომელიც პაციენტების უკანალებში აღმოაჩინეს

გთავაზობთ 12 ყველაზე უცნაური საგნის კოლექციას, რომლებიც პაციენტების უკანალებშია აღმოჩენილი.
ტყვია

1 (1)
მობილური ტელეფონი

2 (1)
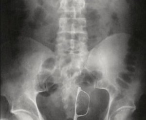
ჭიქა

3 (1)
ფარანი

4 (1)
სათამაშო მანქანა

5 (1)
აუდიოკასეტა

6 (1)
სათვალე

7 (1)
ნათურა

8 (1)
ბოთლი

9 (1)
ბილიარდის ბურთი

10 (1)
მიქსერის დეტალი

11 (1)
სამშენებლო ქაფი

12 (1)

კომენტარები

სხვა სიახლეები